외과수술센터

Veterinary Orthopedic Clinic

정형외과

정상적인 보행과 활동성 회복을 위한
체계적인 정형외과 진료

정형외과는 반려동물의 정상적인 보행과 삶의 질 회복을 위한 필수 진료입니다. 본원은 정밀한 진단, 3D 기반 수술 계획, 다양한 정형외과 수술 경험, 그리고 수술 후 재활까지 체계적인 맞춤 진료를 제공합니다.

정밀 진단부터 재활까지,
믿을 수 있는 정형외과 솔루션

01
정밀한 신체검사, 보행평가

정밀한 신체검사와 보행 평가를 시행하여 증상의 원인과 기능적 손상 정도를 파악합니다.

02
영상 장비를 활용한 진단

방사선 촬영(X-ray), 초음파, CT 등 다양한 영상 장비를 활용하여 진단을 수행합니다. 특히 CT 데이터를 기반으로 3D 뼈 모형을 재구성함으로써 복잡한 뼈 변형과 관절 구조를 입체적으로 분석할 수 있습니다. 이를 통해 수술 전 시뮬레이션을 진행하여 오차를 최소화합니다.

03
대표적인 정형외과 질환/수술

다음은 대표적인 정형외과 질환들로, 본원은 이들에 대한 다년간의 수술 경험과 체계적인 치료 프로토콜을 보유하고 있습니다.

01

전십자인대 질환 (Cranial Cruciate Ligament Disease)

전십자인대 파열은 반려견에서 가장 흔한 무릎 관절 질환으로, 심할 경우 보행이 어렵고 심한 통증을 유발합니다. 본원은 뼈 구조, 체중, 활동 수준 등을 고려하여 TPLO, CTWO 등 다양한 수술 방법 중 가장 적합한 수술법을 선택해 맞춤 치료를 진행합니다. X-ray와 CT 영상을 통해 인대 손상 정도와 관절 상태를 정밀하게 진단하고, 수술 전 시뮬레이션을 통해 오차를 최소화합니다. 수술 후에는 통증 관리와 재활 운동, 근력 강화 프로그램을 통해 기능 회복을 돕고 재발을 예방합니다.

02

슬개골 탈구 (Patellar Luxation)

슬개골 탈구는 무릎관전의 해부학적 정렬 이상으로 인해 보행장애와 만성 통증을 유발합니다. 본원에서는 정밀한 보행 분석과 촉진, X-ray 및 필요 시 CT 기반의 골격 정렬 평가를 통해 탈구의 위치와 정도, 주변 연부조직과 골 변형 여부를 종합적으로 판단합니다.

  • · 경골 조면 전위술 (Tibial Tuberosity Transposition, TTT)
  • · 관절낭 긴장도 조절 (Capsular imbrication/release)
  • · 슬개골 활차 홈 성형술 (Trochleoplasty)
  • · 측부 지지 조직 재구성 (Lateral imbrication / medial release)
  • · 재발 케이스의 경우, CT 기반 3D 분석 후 뼈 변형에 따른 절골술 병행

환자를 연령, 골 성장 여부, 탈구 등급 , 편측/양측성 여부 및 관절염 진행도 등을 반영해 개별 설계되며, 수술 후에는 재활치료 및 근력 강화 프로그램을 통해 기능 회복을 극대화합니다.

03

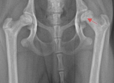
고관절 이형성증(Hip displasia) 및 대퇴골두 무혈성 괴사(LCPD)

고관절 이형성증과 대퇴골두 무혈성 괴사는 반려동물에서 고관절의 비정상적인 형성과 혈액 공급 장애로 인해 심한 통증과 운동 장애를 일으키는 질환입니다. 본원에서는 정확한 진단과 함께 대퇴골두 절제술(FHNO) 등 적절한 수술 치료를 통해 통증 완화와 기능 회복을 목표로 합니다.

04

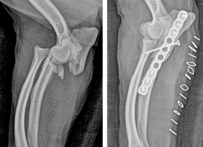
골절 (Fracture)

골절은 단순 골절부터 분쇄골절, 관절 내 골절까지 다양한 형태가 있으며, 환자의 크기, 나이, 골질, 손상 부위와 정도를 종합적으로 평가하여 가장 적합한 고정 방법을 선택해 치료합니다.

05

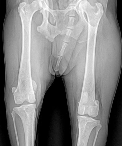
선천성 기형 및 사지 변형 (Angular Limb Deformities)

선천성 기형 및 사지 변형은 반려동물의 정상적인 사지 성장과 기능에 영향을 미치는 문제로, 본원에서는 3D CT 기반의 정밀한 분석을 통해 변형 부위를 정확히 진단하고, 교정 절골술을 시행하여 정상적인 골격 구조와 움직임 회복을 목표로 치료합니다.

04
수술 후 관리

수술 후에는 통증 관리, 재활 운동, 보조기 착용 및 모니터링을 포함한 체계적인 회복 프로그램을 제공합니다. 또한노령견이나 대형견 등 고위험 환자에대해서도 마취전 평가 및 회복 과정까지 철저하게 관리합니다.

05
마무리

정형외과는 단순한 수술 그 이상의 케어가 필요합니다. 저희 외과팀은 보호자와의 지속적인 소통과 관찰을 통해, 반려동물이 다시 건강한 걸음을 내딛는 그날까지 함께하겠습니다.

충청남도 서산시 고운로 19 2층
041-429-3123
주간진료
AM 10:00 ~ PM 19:00
야간 및 응급진료
PM 19:00 ~ AM 10:00 (다음날)
점심 및 회진시간
PM 13:00 ~ PM 14:30 (오전 접수 마감 12:30)